Yuxarı

“Buzlu şüşə” korona əlamətidir? – Radioloq açıqladı

Ana səhifə Sağlıq
12 Punto 14 Punto 16 Punto 18 Punto
“Buzlu şüşə” korona əlamətidir? – Radioloq açıqladı

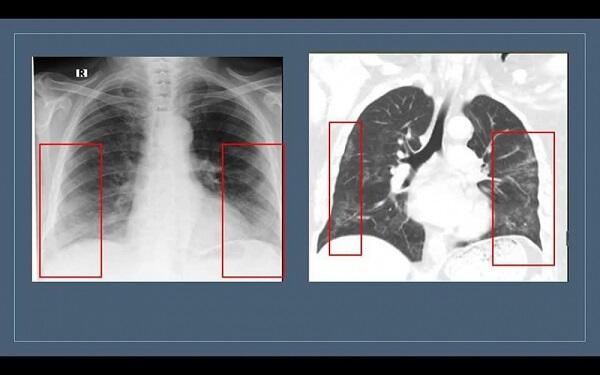
Pandemiya dönəmində insanların sanki kabusuna çevrilmiş bir termin var – “buzlu şüşə” mənzərəsi. Bəzən bunu “buz kristalı”, “buz parçası” kimi də adlandırırlar. Bu görüntü ilk əvvəl adı və səslənməsi ilə insanlarda təlaş, narahatlıq yaradır.

Axar.az xəbər verir ki, Azərbaycan Tibb Universitetinin Tədris Cərrahiyyə Klinikasının radioloqu, şüa diaqnostikası kafedrasının müdiri, dosent Məlahət Sultanova “buzlu şüşə”nin mahiyyətini açıqlayıb.

Həkim qeyd edir ki, bəzən normal hallarda da “buzlu şüşə” görüntüsü radioloji görüntülərdə izlənilə bilər: “Məsələn, müayinə zamanı xəstə dərindən nəfəs almazsa və ya müayinə nəfəsvermədə aparılarsa, ağciyərin havalılığının fizioloji ekspirator zəifləməsi səbəbindən bütün ağciyər sahələri homogen olmaqla “buzlu şüşə” görüntüsü verə bilər. Hazırda “buzlu şüşə” görüntüsü koronavirus pnevmoniyasının əsas radiodiaqnostik əlaməti hesab edilir. Bu o deməkdir ki, normalda şəffaf havalı görünən ağciyərdə belə hallarda yarımşəffaf zonalar izlənilir, ağciyər sanki dumanlı görünür. Bu zaman bronx strukturlarının və pulmonar damarların saxlanması ilə ağciyərlərin eksudat və ya transudatla tutulması, interstisial qalınlaşmalar və ağciyər alveollarının hissəvi kollapsı ilə müşahidə olunan görüntü meydana çıxır. Buzlu şüşə xəstəliyin 3-4-cü günlərindən inkişaf etməyə başlayır və xəstə sağaldıqdan hətta bir ay sonra belə qala bilir. Xəstəliyin yüngül və orta ağır dərəcəsini keçirmiş xəstələrdə 2-3 aydan sonra dəyişikliklər tamamilə itir”.

Radioloqun sözlərinə görə, hazırda onlara ən çox verilən sual “buzlu şüşə” görüntüsünün indiyədək mövcud olub-olmaması ilə bağlıdır. Həkim qeyd edir ki, bu, yalnız COVİD-19 xəstələri üçün səciyyəvi deyil, digər xəstəliklərdə də görülə bilər. Lakin bu görüntü pandemiya dönəmində uyğun kliniki-laborator əlamətlərlə izlənilərsə, onda diaqnoz COVİD xəstəliyi kimi dəyərləndirilir.

Qeyd edək ki, “buzlu şüşə” görüntüsü döş qəfəsinin rentgenoqrafiya və kompüter tomoqrafiya (KT) müayinələrində aşkar edilir. Lakin bu məsələdə rentgenoqrafiya müayinəsinin həssaslığı aşağıdır. Ona görə də yoluxmanın ilk 1-4-cü günlərində rentgenoqram 25 faiz hallarda tam normal ola bilər. Bu, pnevmoniyanın olmaması demək deyil. “Buzlu şüşə”nin KT müayinəsində görülməsi daha spesifikdir.

Tarix
2020.07.09 / 16:38
Müəllif
Axar.az
Digər xəbərlər

Paşinyan: Qarabağdan niyə qaçdınız? - Video

İrandan Azərbaycana təxliyə olunanların sayı...

Azərbaycan nümayəndə heyəti Tiflisə yollandı

İran təsəvvürləri alt-üst etdi: 4 min km uçan raket...

ABŞ İran neftinə sanksiyanı bir aylıq qaldırdı - Hansı məntiqlə?

İran müharibəsi: Azərbaycan “əsas dəhlizə” çevrilir...

Şovinist Rza Pəhləvinin olmayan “Ölümsüzlər” ordusu...

ABŞ-da İran üzrə peşəkarlar niyə işdən çıxarıldı?

Bu nazirin müavilərinin sayı 6-ya çatdı

Nazir müavini təyin edilən jurnalist oğlunun - Dosyesi

KULT
<>
Xəbər xətti
  
  
  
Axar.az'da reklam Bağla
Reklam
Bize yazin Bağla