Yuxarı

Bu da koronavirusa yoluxan ağciyərlər - Foto

Ana səhifə Sağlıq
12 Punto 14 Punto 16 Punto 18 Punto
Bu da koronavirusa yoluxan ağciyərlər - Foto

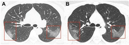
Çin həkimləri 2019 nSoV koronavirusuna yoluxmuş pasiyentin ağciyərlərinin şəkillərini yayıblar.

Bu barədə Report “Radiology” jurnalına istinadən xəbər verir.

Jurnalda dərc edilmiş təsvirlər Çinin Lançjou şəhərində 39 dərəcə temperaturla xəstəxanaya yerləşdirilmiş 33 yaşlı qadının kompüter tomoqrafiyası nəticəsində alınıb.

Birinci şəkildə "tutqun şüşə effekti”ni yaradan bulanıqlıq görünür. Üç gün sonra çəkilmiş ikinci şəkildə isə virusun genişlənmiş sahəsini görmək mümkündür.

"Epidemioloji xüsusiyyətlərə, klinik təzahürlərə, döş hüceyrələrinin şəkillərinə və laboratoriya məlumatlarına əsasən, 2019 nCoV sətəlcəm diaqnozu qoyuldu", - deyə nəşr bildirib.

Tarix
2020.02.02 / 16:32
Müəllif
Axar.az
Digər xəbərlər

"Forbes" İranın gücünü müqayisə etdi: Siyahıda Azərbaycan da var

Azərbaycan Türkiyə və Avstraliyanı bunun üçün təbrik etdi

Gültəkin Hacıbəylinin Mehdiyev sevgisi: Gizli oyunlar...

1 milyona ev, 440 minə cip - Rektorun milyonluq xərci

Göyçayda məzar daşı: Türkiyə səfirliyi hərəkətə keçdi - Foto

Ermənistan nümayəndələri Hikmət Hacıyevlə görüşdü - Foto

Ramiz Mehdiyevin səhhəti pisləşdi

Paşinyandan Konstitusiya ilə bağlı açıqlama

Binəli Yıldırımdan Zəngəzur dəhlizi ilə bağlı açıqlama

Ukraynaya qarşı sülh planı: Tramp Putindən nə qopardı?

KULT
Xəbər xətti
  
  
  
Axar.az'da reklam Bağla
Reklam
Bize yazin Bağla